فاصله یا شکاف بین دندان ها با چه روش هایی درمان می شود؟
در این نوشته می خوانید:
ممکن است فضای بین دندان های خود را نادیده بگیرید، اما می تواند نشانه ای از چیزی فراتر از زیبایی ظاهری باشد. اما وقتی فاصله ها شروع به تأثیر گذاشتن بر بایت، اعتماد به نفس یا سلامت کلی دندان های شما می کنند، ارزش دارد که کمی دقیق تر به آنها نگاه کنید. از ژنتیک گرفته تا عادات روزمره، دلایل مختلفی برای ایجاد فاصله بین دندان ها وجود دارد – و خوشبختانه، به همان اندازه راه های زیادی برای درمان آنها وجود دارد. در این مقاله، علل شایع فاصله بین دندان ها، خطرات بالقوه آن و گزینه های درمانی که می توانند به بازیابی عملکرد و ظاهر کمک کنند را بررسی می کنیم.
دیاستم (فاصله یا شکاف بین دندان ها) چیست؟
دیاستم وضعیتی است که در آن فاصله قابل توجهی بین دندان ها وجود دارد. این فاصله هم در کودکان و هم در افراد بزرگسال یافت می شود. فاصله بین دندان ها می تواند بین هر دندانی باشد. اما فاصله بین دندان های جلویی بیشتر قابل مشاهده است. گاهی اوقات این فاصله با رویش دندان های دائمی در کودکان به خودی خود پر می شود. این فقط یک نگرانی زیبایی شناختی برای برخی افراد است، اما می تواند برای برخی افراد دیگر، تهدیدهای جدی برای سلامت دندان ها ایجاد کند. برای کسب اطلاعات در مورد علل، علائم، پیشگیری و درمان دیاستم، ادامه مطلب را بخوانید.

دیاستم (فاصله یا شکاف بین دندان ها) چیست؟
چه عواملی باعث ایجاد فاصله (دیاستم) بین دندان ها می شوند؟
دلایل احتمالی دیاستم عبارتند از:
رشد طبیعی
گاهی اوقات، فاصله بین دندان های جلویی نتیجه رشد طبیعی کودکان است. این مشکل در بین گروه سنی ۶ تا ۸ سال بسیار شایع است. اما این فاصله در بیشتر موارد با تشکیل دندان های نیش فک بالا از بین می رود.
موقعیت، اندازه و شکل غیر طبیعی دندان ها
اگر شکل، اندازه و موقعیت دندان های شما غیر معمول باشد، احتمال ایجاد فاصله افزایش می یابد. این دندان ها نمی توانند فشار و پشتیبانی لازم را از یکدیگر دریافت کنند تا از جدا شدن آنها جلوگیری شود.
دندان های از دست رفته
شایع ترین علت از دست رفتن دندان ها، رشد ناکافی یا عدم وجود دندان های اطراف دندان های جلوی فک بالایی است. به آنها دندان های پیشین لترال فک بالا نیز گفته می شود. این وضعیت منجر به ایجاد فاصله بین دندان های جلویی می شود.
فرنوم لبی زیاد رشد کرده
فرنوم لبی بافتی است که قسمت داخلی لب بالا و لثه بالای دندان های جلوی فک بالا را می پوشاند. اگر این بافت زیاد رشد کند، می تواند منجر به ایجاد فاصله بین دندان ها شود.
پریودنتیت
فاصله بین دندان های شما همچنین می تواند نتیجه پریودنتیت باشد. این نوعی بیماری لثه یا عفونت است که به بافت ها و استخوان های دندان آسیب می رساند. در نتیجه، دندان های شما لق می شوند و یک فاصله ایجاد می کنند.
رفلکس بلع نامناسب
رفلکس های بلع صحیح باعث می شوند زبان شما به سقف دهان فشار بیاورد. در مقابل، بلع نادرست، زبان شما را به دندان های جلویی شما فشار می دهد. این فشار مداوم در نهایت می تواند به فاصله بین دندان های جلویی تبدیل شود.
عادات اشتباه
عادات بدی مانند گاز گرفتن لب پایین و مکیدن انگشت شست یا اشاره می توانند باعث ایجاد فاصله بین دندان ها در کودک شوند. و یک فرد بزرگسال می تواند با سوراخ کردن زبان، آن را ایجاد کند. گل میخ سوراخ شده می تواند با فشار دادن دندان های جلویی، تشکیل آنها را مختل کند.
افتادن دندان های شیری
فاصله بین دندان ها می تواند به دلیل افتادن دندان های شیری یا دائمی ایجاد شود. اما این نوع فاصله ها با رویش دندان های دائمی بسته می شوند.

چه عواملی باعث ایجاد فاصله (دیاستم) بین دندان ها می شوند؟
علائم دیاستم (فاصله بین دندان ها)
قابل توجه ترین علامت دیاستم، فاصله بین دندان ها است. جدا از آن، ممکن است متوجه هر یک از علائم زیر نیز شوید:
· لثه های عقب رفته
· لثه های متورم و حساس
· لثه های قرمز روشن
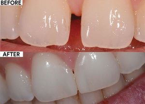
چگونه فاصله بین دندان ها (دیاستم) را برطرف کنیم؟
اگر دیاستم به دلیل افتادن دندان های شیری کودک موقت باشد، به درمان نیاز نیست. همچنین اگر هیچ خطری برای سلامت دندان ها ایجاد نکند، به درمان نیاز نیست. با این حال، می توانید صرفاً به دلایل زیبایی آن را درمان کنید. اگر می خواهید دیاستم را درمان کنید، در اینجا گزینه های ممکن برای شما آورده شده اند:
بریس ها
درمان با بریس ها برای دندان های فاصله دار بسیار رایج است. این روش با فشار آوردن به دندان ها برای نزدیک تر شدن آنها به یکدیگر، دیاستم را درمان می کند. حتی اگر فقط یک فاصله بین دندان ها برای پر کردن وجود داشته باشد، ممکن است لازم باشد از یک ست کامل بریس استفاده کنید.
لمینیت ها
لمینیت ها قطعات نازکی از جنس پرسلن هستند که روی سطح دندان های شما قرار می گیرند. این قطعات به صورت سفارشی برای هر بیمار ساخته می شوند. این قطعات عموماً در مواردی مفید هستند که به دلیل کوچک بودن اندازه دندان ها بین دندان ها فاصله ایجاد می شود.
درمان با الاینرهای شفاف
الاینرهای شفاف ها به عنوان اصلاح دندان های فاصله دار و نامرتب شناخته می شوند. این درمان برای همه گروه های سنی ایده ال است. الاینرهای شفاف جایگزین محبوبی برای بریس ها هستند زیرا عملاً برای دیگران نامرئی هستند.
ایمپلنت های دندانی
در صورت از دست دادن دندان ها، باید با ایمپلنت دندان درمان شوید. این روش همچنین به عنوان بریج دندانی شناخته می شود. این یک جایگزین برای دندان های از دست رفته شماست که با قرار دادن یک پیچ فلزی درون استخوان فک شما متصل می شود. همچنین یک ابزار برای پشتیبانی به هر دو طرف فاصله بین دندان ها متصل می شود.
درمان بیماری لثه
هنگامی که به دلیل بیماری لثه دچار فاصله بین دندان ها می شوید، دندانپزشک ابتدا باید آن را درمان کند. در غیر این صورت، عفونت در حال گسترش می تواند منجر به از دست دادن دندان شود. درمان بیماری لثه شامل برداشتن جرم از لثه های شما است.
باندینگ دندان
باندینگ دندان به بستن فاصله بین دندان ها کمک می کند، زمانی که فاصله بین دندان ها ناشی از یک یا چند دندان کوچک تر باشد. در این درمان، رزین روی سطح دندان های شما اعمال می شود و با کمک پرتوهای نور سفت می شود.
جراحی ارتودنسی
اگر فاصله بین دندان های شما ناشی از فرنوم غیر طبیعی یا کیست باشد، ممکن است به جراحی ارتودنسی نیاز داشته باشید. با جراحی بافت اضافی خارج می شود. درمان ارتودنسی را می توان پس از جراحی شروع کرد.

چگونه فاصله بین دندان ها (دیاستم) را برطرف کنیم؟
چگونه از فاصله بین دندان ها (دیاستم) جلوگیری کنیم؟
شما نمی توانید به دلایل طبیعی از فاصله بین دندان ها جلوگیری کنید. با این حال، از طرف خود، می توانید تغییراتی در سبک زندگی ایجاد کنید تا خطر آن را کاهش دهید.
· دو بار در روز مسواک بزنید.
· یک بار در روز نخ دندان بکشید.
· به فرزندان خود کمک کنید تا عادات بد خود، مانند مکیدن انگشت شست، را ترک کنند.
· به فرزند خود رفلکس های بلع مناسب را آموزش دهید.
· برای پاکسازی تخصصی دندان ها و معاینات منظم دندانپزشکی مراجعه کنید.
· نوبت خود را در مطب پیشرفته ما رزرو کنید.
نتیجه گیری
اگر متوجه هر گونه علائم دیاستم در خود یا فرزند خود شدید، در مراجعه به متخصص ارتودنسی تردید نکنید. فاصله بین دندان ها ممکن است از قبل مشکل ساز نباشد. اما مراجعه به متخصص ارتودنسی برای رد هرگونه مشکل اساسی در سلامت دندان ضروری است.
سؤالات متداول
آیا می توان از دیاستم جلوگیری کرد؟
پیشگیری از دیاستم شامل حفظ بهداشت دهان و دندان، اجتناب از عاداتی مانند مکیدن انگشت شست یا فشار دادن زبان و در صورت لزوم مراجعه به متخصص ارتودنسی است، اگرچه عوامل فردی ممکن است متفاوت باشند.
اگر دیاستم داشته باشم چه انتظاری می توانم داشته باشم؟
اگر دیاستم دارید، ممکن است بین دندان های خود فاصله داشته باشید، مشکلات احتمالی در جویدن یا صحبت کردن و در برخی موارد، افزایش حساسیت به بیماری لثه یا پوسیدگی دندان را تجربه کنید. گزینه های درمانی ممکن است بسته به شدت و علل زمینه ای این بیماری متفاوت باشند.
آیا دیاستم با بالا رفتن سن افزایش می یابد؟
دیاستم گاهی اوقات می تواند با بالا رفتن سن به دلیل عواملی مانند تحلیل لثه، از دست دادن دندان یا تغییر در تراز دندان ها افزایش یابد، اگرچه این همیشه صدق نمی کند و در افراد مختلف متفاوت است. معاینات منظم دندانپزشکی می توانند به نظارت بر هرگونه تغییر و رفع آنها در صورت نیاز کمک کنند.




دیدگاه خود را ثبت کنید
تمایل دارید در گفتگوها شرکت کنید؟در گفتگو ها شرکت کنید.